ULTRASSOM PARA PROCEDIMENTOS EM ORTOPEDIA
ULTRASSONAGRAFIA MÚSCULO ESQUELÉTICO A REVOLUÇÃO NA ORTOPEDIA E TRAUMATOLOGIA
- Transdutores de mais alta frequência com melhora na visualização de extruturas anatômicos
- Novas aplicações clínicas para guiar procedimentos microinvasivos
- Melhora na visualização de vasos e nervos
- Equipamento portáteis e ultra portáteis ( com imagem projetada no tablet ou celular )
- Uso da Elastografia no diagnóstico de lesões ortopédicas
A ultrassonografia musculoesquelética surgiu como uma ferramenta de diagnóstico popular e essencial em várias subespecialidades médicas. A popularidade desse método de imagem não foi repentina; em vez disso, desenvolveu-se lentamente ao longo de 50 anos, porém com avançoes significativos na ortopedia nos últimos 10 anos. Hoje o ultrassom permite a realização de procedimentos ambulatoriais com precisão ciúrgica. Maior que em cirurgias abertas!
Leia mais sobre o tratamento da artrose do joelho:
A busca por uma resolução cada vez melhor:
Ao realizar um Ultrassom Musculo esquelético preciosamos visualizar uma grande quantidade estruturas superficiais a 1 a 4 cm da pele e portanto dependemos de transdutores lineares de alta frequência (geralmente estão na faixa de 12-18 MHz) para obter imagens amsi nítidas. Nervos, tendões e ligamentos mais superficiais são particularmente berm visualizados usando esta técnica.
A capacidade do US de mostrar tendões com mais detalhes do que nervos pode parecer menos crítica porque os tendões normais consistem em feixes de colágeno uniformemente espaçados e uma rede fina de substância fundamental separando os feixes, com essa rede visível através de interfaces no exame de US de eixo longo dos tendões. O número de interfaces espaçadas entre os feixes aumenta com o aumento da frequência do transdutor.
A resolução da imagem fornecida por transdutores de frequência mais alta permite a visualização de detalhes anatômicos relacionados ao tendão, tornando possível a diferenciação entre polias normais e anormais. As polias são vistas como estruturas finas no diâmetro transversal ( Fig. abaixo ). O diferencial entre uma polia normal e uma polia anormal é da ordem de magnitude de 200 μm, mas está dentro do poder de resolução somente de US de melhor qualidade. Um estudo em cadáver envolvendo comparação direta de transdutores convencionais de mais alta frequência exibiram o sistema de polias com mais precisão, permitindo uma medição mais precisa da espessura da polia.
Homem de 39 anos com tendão plantar normal. Imagem de ultrassom obtida usando transdutor de 30 MHz mostra seção transversal do tendão plantar normal (P) ( setas curvas ) adjacente ao tendão de Aquiles muito maior ( setas retas ) no nível da articulação medial do tornozelo. Fáscia medial ( pontas de seta ) da almofada de gordura pré-Aquiles também é vista
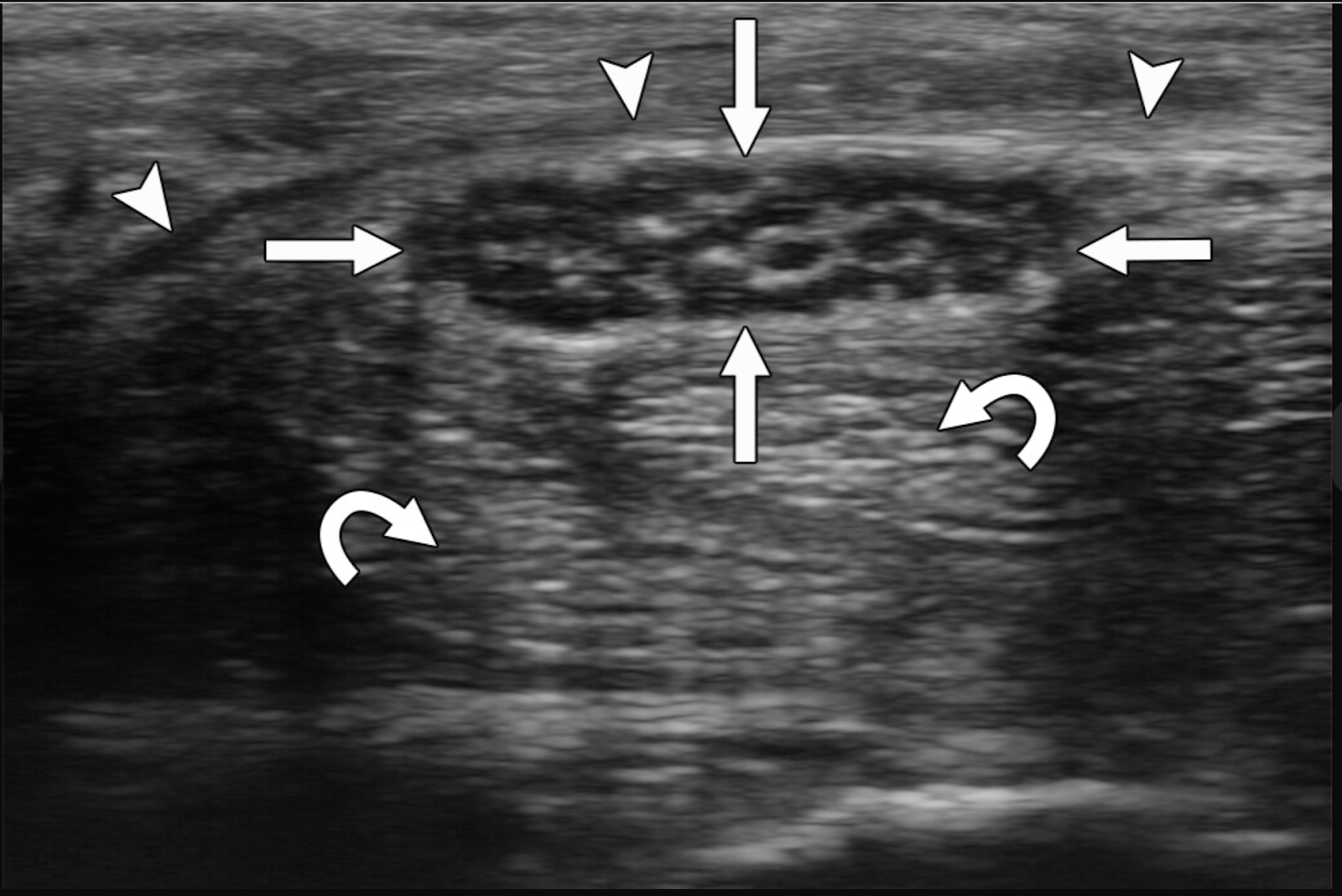
Imagem de ultrassom obtida usando transdutor de alta frequencia mostra seção transversal da polia A1 normal ( setas retas ) restringindo tendões flexores superficialis mais profundos (Sup) e profundus (Prof) sobre a falange proximal. Os tendões flexores não são bem visualizados devido à anisotropia. A anisotropia também é vista onde a polia A1 se curva ( setas curvas ) em ambos os lados dos tendões flexores.
Imagem de ultrassom obtida usando transdutor de alta frequencia mostra seção transversal da polia A1 ( setas ) surgindo da falange proximal e restringindo os tendões flexores superficialis (Sup) e profundus (Prof) adjacentes.
Homem de 62 anos com ligamento colateral ulnar normal do polegar. Imagem de ultrassom obtida usando transdutor de 22 MHz mostra seção longitudinal do ligamento colateral ulnar normal do polegar ( setas ) entre o colo do primeiro metacarpo (MC) medial e a falange proximal adjacente. A aponeurose normal do adutor do polegar ( pontas de seta ) é vista superficialmente ao ligamento.
Homem de 63 anos com predisposição genética para doença de Dupuytren que apresentava doença na mão oposta comprovada por achados cirúrgicos. Imagem de ultrassom de ultra-alta frequência obtida usando transdutor linear de 24 MHz no aspecto ulnar da palma da mão mostra a visão transversal do cordão fibrótico fingido ( seta preta ) que se conecta com ambos os tendões flexores profundamente e os levanta da superfície óssea. O cordão também forma covinhas na pele ( seta branca ) no lado oposto da palma da mão. O quinto metacarpo (MC) também é visto.


Imagens de ultrassom Doppler de potência obtidas usando transdutor de 15 MHz mostram vistas de eixo curto ( A ) e eixo longo ( B ) do nervo mediano direito no nível do túnel do carpo no punho volar. O nervo mediano hipoecoico ( setas ) é visto com perda da arquitetura fascicular normal compatível com neuropatia mediana com hipervascularidade intraneural associada.

Homem de 43 anos que apresentou dor posterior no tornozelo.
Imagem de ultrassom obtida usando transdutor de linear 3-16 MHz e imagem microvascular mostra vista de eixo longo do tendão de Aquiles direito ( região distal). O tendão de Aquiles ( setas sólidas ) tem aparência heterogênea ligeiramente espessada compatível com tendinose leve inserindo-se no calcâneo com pequeno entesófito calcâneo adjacente ( estrela ). Além disso, é vista distensão hipoecoica leve da bursa retrocalcânea ( seta aberta ), compatível com bursite.

Homem de 43 anos que apresentou dor posterior no tornozelo. ( doppler de Fluxo )
Imagem de ultrassom obtida usando transdutor de 18 MHz e imagem microvascular mostra visão de eixo longo do fluxo microvascular ( em azul ) associação compatível com neovascularização com tendinose do calcâneo. O fluxo microvascular circunda a bursite retrocalcânea.

Imagens de ultrassom Doppler de potência obtidas usando transdutor de 15 MHz mostram vistas de eixo curto ( A ) e eixo longo ( B ) do nervo mediano direito no nível do túnel do carpo no punho volar. O nervo mediano hipoecoico ( setas ) é visto com perda da arquitetura fascicular normal compatível com neuropatia mediana com hipervascularidade intraneural associada.
Homem de 43 anos que apresentou dor posterior no tornozelo.
Imagem de ultrassom obtida usando transdutor de linear 3-16 MHz e imagem microvascular mostra vista de eixo longo do tendão de Aquiles direito ( região distal). O tendão de Aquiles ( setas sólidas ) tem aparência heterogênea ligeiramente espessada compatível com tendinose leve inserindo-se no calcâneo com pequeno entesófito calcâneo adjacente ( estrela ). Além disso, é vista distensão hipoecoica leve da bursa retrocalcânea ( seta aberta ), compatível com bursite.
Homem de 43 anos que apresentou dor posterior no tornozelo. ( doppler de Fluxo )
Imagem de ultrassom obtida usando transdutor de 18 MHz e imagem microvascular mostra visão de eixo longo do fluxo microvascular ( em azul ) associação compatível com neovascularização com tendinose do calcâneo. O fluxo microvascular circunda a bursite retrocalcânea.
Homem de 42 anos com tendinopatia de aquiles. Imagem de elastografia Shear Wave Elastography obtida usando transdutor de 18 MHz ( Canon ) mostra o tendão de Aquiles direito. A combinação de codificação de cores das velocidades de onda de cisalhamento ( superior ) e ultrassom em escala de cinza ( inferior ) mostra tendão normal à esquerda da imagem e tendão doente com diminuição na velocidade de onda de cisalhamento no centro da imagem. O tendão doente visível centralmente na imagem mostra inchaço fusiforme e aumento na distância interfascicular na área de doença máxima ( área azul ).
Na área de tendinose mais significativa, que mostra nódulos hipoecoicos e aumento da distância entre as fibrilas do tendão, as velocidades de onda de cisalhamento diminuem significativamente. Algumas áreas sem registro de velocidades de onda de cisalhamento (as chamadas "zonas mortas") são artefatos comuns em zonas retangulares na imagem codificada por cores. T3 = ROI alvo 3, T4 = ROI alvo 4, T5 = ROI alvo 5, Ave. = média, MI = valor do índice mecânico, L = transdutor linear, d = frequência atual em megahertz, fps = quadros por segundo, G = ganho, Tend. = tendão, DR = faixa dinâmica 2D, A = ApliPure (Canon Medical Systems), P = precisão, Sw = frequência de onda de cisalhamento, SF = filtro espacial. (Cortesia da Canon Medical Systems,
Imagens: Van Holsbeeck M, Soliman S, Van Kerkhove F, Craig J. Advanced Musculoskeletal Ultrasound Techniques: What Are the Applications? AJR Am J Roentgenol. doi: 10.2214/AJR.20.22840.
Marcos Britto da Silva
Médico Ortopedista
CRM: 5253862-0; RQE-17345; TEOT-5568
Cirurgia Micro Invasiva Guiada por Ultrassom
Na área de tendinose mais significativa, que mostra nódulos hipoecoicos e aumento da distância entre as fibrilas do tendão, as velocidades de onda de cisalhamento diminuem significativamente. Algumas áreas sem registro de velocidades de onda de cisalhamento (as chamadas "zonas mortas") são artefatos comuns em zonas retangulares na imagem codificada por cores. T3 = ROI alvo 3, T4 = ROI alvo 4, T5 = ROI alvo 5, Ave. = média, MI = valor do índice mecânico, L = transdutor linear, d = frequência atual em megahertz, fps = quadros por segundo, G = ganho, Tend. = tendão, DR = faixa dinâmica 2D, A = ApliPure (Canon Medical Systems), P = precisão, Sw = frequência de onda de cisalhamento, SF = filtro espacial. (Cortesia da Canon Medical Systems,
Imagens: Van Holsbeeck M, Soliman S, Van Kerkhove F, Craig J. Advanced Musculoskeletal Ultrasound Techniques: What Are the Applications? AJR Am J Roentgenol. doi: 10.2214/AJR.20.22840.
Marcos Britto da Silva
Médico Ortopedista
CRM: 5253862-0; RQE-17345; TEOT-5568
Cirurgia Micro Invasiva Guiada por Ultrassom
Comentários
Postar um comentário
ANTES DE POSTAR SEU COMENTÁRIO Leia SOBRE O BLOG
http://www.marcosbritto.com/p/blog-page.html
Somente os seguidores do Blog poderão postar comentários.
Não realizamos consultas pela internet!